Skip to main content

Eyelid Surgery Before & After


Search By Doctor:

Patient 1 Blepharoplasty Case #356


Click to see more photos

Description:

This photo series showcases the transformation of a patient six months after undergoing Asian blepharoplasty, also known as double eyelid surgery. The “before” images highlight the patient’s natural monolid appearance, with a smooth upper eyelid contour and minimal visible crease.

The “after” photos, taken at the 6-month post-operative mark, reveal the refined results of the procedure. A defined yet natural-looking supratarsal crease has formed, enhancing the patient’s eye shape while maintaining ethnic harmony and facial balance. Swelling has fully subsided, and incision lines are faint and well-healed, offering a clear view of the final aesthetic outcome.

These results demonstrate the subtle but impactful effects of Asian blepharoplasty, providing greater eyelid definition while preserving the unique features of the patient’s natural anatomy.


Procedure:
Doctor:

Patient 2 Blepharoplasty Case #13622


Click to see more photos

Description:

Explore the transformation of our patient following an upper blepharoplasty procedure. In the “Before” images, notice the presence of excess skin and heaviness around the upper eyelids, which often leads to a tired or aged appearance. The “After” photos reveal a refreshed and more youthful look, with improved eyelid contour and restored definition around the eyes.

This subtle yet impactful procedure has enhanced the natural shape of the eyes while maintaining the patient’s unique facial features. The results demonstrate a more open, alert, and rejuvenated expression—all achieved with a focus on precision and natural-looking outcomes.


Procedure:
Doctor:

Patient 3 Blepharoplasty Case #29601


Click to see more photos

Description:

These before and after photos feature a 47-year-old patient who underwent upper blepharoplasty to address sagging upper eyelid skin. In the “Before” images, you can observe the presence of excess skin and eyelid heaviness that contributed to a tired, aged appearance.

Following the procedure, the “After” photos show a noticeable improvement in eyelid contour and overall eye definition. The upper eyelids appear smoother and more lifted, creating a brighter, more refreshed look while maintaining the patient’s natural facial expression.

This transformation reflects the subtle, age-appropriate rejuvenation that upper blepharoplasty can offer—enhancing the eyes without changing the essence of the patient’s features.


Procedure:
Doctor:

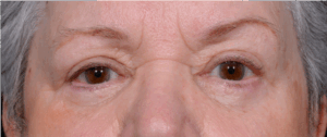
Patient 4 Lower Blepharoplasty Case #26939-1


Click to see more photos

Description:

47-year-old patient underwent a lower blepharoplasty (lower eyelid surgery) because she felt like she looked “tired all the time”

The patient had bulging of the lower eyelid fat pads more so on the right compared to the left and a mild amount of excess skin.


Procedure:
Doctor:

Patient 5 Blepharoplasty Case #7015


Click to see more photos

Description:

Explore the transformative results of blepharoplasty (eyelid surgery) through these before and after images. This patient underwent upper and lower eyelid surgery to address drooping lids and under-eye puffiness that contributed to a tired or aged appearance.

In the before photos, note the presence of excess skin on the upper eyelids and visible under-eye bags. These common concerns can interfere with both appearance and, in some cases, vision.

The after photos reveal a refreshed, more youthful look. The upper eyelids appear lifted and smoother, while the lower eyelids show a significant reduction in puffiness and fine lines. The eyes now look brighter and more open, restoring a natural, rested expression.

Results like these highlight how blepharoplasty can subtly enhance facial harmony while maintaining each patient’s unique features. Individual results may vary, and all procedures are tailored to the specific needs of each patient.


Procedure:
Doctor:

Patient 6 Blepharoplasty Case #3336


Click to see more photos

Description:

These before and after images showcase the results of a blepharoplasty procedure, commonly known as eyelid surgery. This patient sought treatment to improve the appearance of sagging upper eyelids and puffiness beneath the eyes.

In the before images, you’ll notice excess skin and volume around the eyes, contributing to a fatigued or aged look. These changes are often due to natural aging and can affect both aesthetics and, at times, vision.

The after images highlight a noticeable yet natural-looking enhancement. The upper eyelids appear more lifted and defined, while the lower eyelid area looks smoother and more rejuvenated. The overall effect is a brighter, more refreshed eye area that restores a youthful, well-rested appearance.

Blepharoplasty can offer subtle but meaningful improvements, helping patients look more like how they feel—awake, alert, and confident.


Procedure:
Doctor:

Patient 7 Blepharoplasty Case #6272


Click to see more photos

Description:

Explore the transformative results of upper and/or lower blepharoplasty, a surgical procedure designed to rejuvenate the appearance of the eyes by removing excess skin, fat, and tissue from the eyelids.

In the “Before” photos, note the presence of drooping upper lids, under-eye puffiness, or sagging skin that can contribute to a tired or aged appearance. The “After” images reveal a refreshed, more youthful look, with improved eyelid contours and enhanced eye definition.

This gallery showcases the natural-looking outcomes that can be achieved through meticulous technique and personalized care. Each case demonstrates the subtle yet impactful improvement in the overall facial aesthetic, helping patients look as vibrant as they feel.

Results vary by individual. All photos are shared with patient consent.


Procedure:
Doctor:

Patient 8 Blepharoplasty Case #2653


Click to see more photos

Description:

Discover the transformative effects of blepharoplasty through our before and after gallery. This procedure, also known as eyelid surgery, is designed to remove excess skin, fat, and muscle from the upper and/or lower eyelids, helping to restore a more youthful, refreshed appearance.

In the before photos, note the presence of sagging upper eyelids, puffiness, or under-eye bags that may contribute to a tired or aged look. The after images highlight the results of the procedure—smoother contours, lifted eyelids, and a more open, alert eye area—achieved while maintaining natural facial harmony.

Each case in this gallery showcases a unique patient journey and reflects the precision and artistry of our surgical approach. Results may vary based on individual anatomy and aesthetic goals.


Procedure:
Doctor:

Patient 9 Blepharoplasty Case #6005


Description:

Explore the subtle yet powerful changes made possible through blepharoplasty, also known as eyelid surgery. This procedure is designed to rejuvenate the eye area by removing excess skin and fat from the upper and/or lower eyelids, helping patients look more rested, alert, and youthful.

In the before images, you’ll see common concerns such as drooping eyelids, puffiness, and under-eye bags that can contribute to a tired or aged appearance. The after photos reveal brighter, more defined eyes and smoother contours—achieved with a careful, customized surgical approach.

Each transformation featured here is a reflection of the patient’s unique goals and anatomy, showcasing natural-looking results that enhance, rather than change, their overall appearance.


Procedure:
Doctor:

Patient 10 Blepharoplasty Case #9685


Click to see more photos

Description:

These before and after photos highlight the transformative results of upper and/or lower eyelid surgery (blepharoplasty). This procedure is designed to remove excess skin, fat, and puffiness around the eyes, creating a more refreshed and youthful appearance.

In the “before” images, you’ll notice common concerns such as drooping upper eyelids, under-eye bags, or a tired overall look. The “after” photos reveal a smoother, more open eye area, with improved contour and natural-looking rejuvenation.

Each case reflects a tailored approach, focusing on enhancing the patient’s natural features while maintaining their unique expression. Results may vary depending on individual anatomy and desired outcomes.


Procedure:
Doctor:

Patient 11 Blepharoplasty Case #3418


Click to see more photos

Description:

Explore the transformative results of upper and/or lower eyelid surgery (blepharoplasty) in this before-and-after photo gallery. Each set of images showcases a patient’s journey—from tired or heavy-looking eyelids to a more refreshed, youthful appearance.

Blepharoplasty is a precision procedure that removes excess skin, fat, and in some cases muscle from the eyelids. The results are often subtle yet striking, revealing brighter, more open eyes and a smoother, rejuvenated contour around the eyes.

These photos illustrate how blepharoplasty can address:

  • Drooping upper eyelids

  • Puffy under-eye bags

  • Hooded eyelids affecting vision

  • General signs of aging around the eyes

All images are shared with patient consent and reflect individual outcomes. Results may vary.

Scroll through the gallery to see the natural-looking enhancements that have helped our patients look as vibrant as they feel.


Procedure:
Doctor:

Patient 12 Quad Blepharoplasty Case #4265


Click to see more photos

Description:

Discover the transformative results of a Quad Blepharoplasty—a comprehensive eyelid surgery that addresses both the upper and lower eyelids to restore a youthful, refreshed appearance.

In the Before images, note the presence of upper eyelid drooping (ptosis), puffiness, and under-eye bags that can contribute to a tired or aged look.

The After images reveal the remarkable improvements following the procedure: smoother lower eyelids, refined upper eyelid contours, and a more open, alert gaze. The overall effect is natural and balanced, enhancing the patient’s facial harmony while preserving their unique features.

This set highlights the precision and artistry of quad blepharoplasty in rejuvenating the eye area without overcorrection, resulting in a more rested and confident appearance.


Procedure:
Doctor: